AN UNUSUAL CASE OF IPSILATERAL SHOULDER AND ELBOW DISLOCATION
Abstract
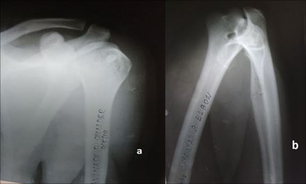
A 34 years old male, labourer by occupation was brought to our trauma centre in an inebriated state with a history of fall from a height of approximately 10 feet. He complained of pain in the right elbow. A complete examination of the affected upper limb revealed an ipsilateral anterior shoulder dislocation and a posterior elbow dislocation with no other concomitant injuries. Both the dislocations were reduced conservatively and the patient was successfully managed. The patient is absolutely fine now, 6 months post his dislocation and has resumed back to his work. This case has been presented to highlight the rare and unusual nature of the injury, since ipsilateral dislocation of shoulder and elbow occur infrequently.
References
Khan MR, Mirdad TM. Ipsilateral dislocation of the shoulder and elbow. Saudi Med J 2001;22(11):1019-2.
Essoh JB, Kodo M, Traoré A, Lambin Y. Ipsilateral dislocation of the shoulder and elbow: a case report. Niger J Surg Res 2005;7(3):319-20.
Ali FM, Krishnan S, Farhan MJ. A case of ipsilateral shoulder and elbow dislocation: an easily missed injury. J Accid Emerg Med 1998;15(3):198.
Kocher T. Eine neue Reductions methode fur Srchulter verrenkung. Berl Kiln Wchnschr 1870;7:101-5.
Hobgood ER, Khan SO, Field LD. Acute dislocations of the adult elbow. Hand Clin 2008;24(1):1-7.
Songahir Christophe DA, Alexandre K, Sayouba T, Mamoudou S, Hamado K, Anatole Jean Innocent O, et al. Bipolar Dislocation of the Arm (Shoulder And Elbow): About One Case in an African Teaching Hospital. Open Orthop J 2018;12:147-52.
Behr I, Blint A, Trenhaile S. Ipsilateral fracture dislocation of the shoulder and elbow: A case report and literature review. J Clin Orthop Trauma 2013;4(4):204-9.
CobanoÄŸlu M, Yumrukcal F, KarataÅŸ C, Duygun F. Simultaneous shoulder and elbow dislocation. BMJ Case Rep 2014;2014:bcr2014204686.
Meena S, Saini P, Rustagi G, Sharma G. Ipsilateral shoulder and elbow dislocation: a case report. Malays Orthop J 2012;6(1):43-5.
Downloads
Published
How to Cite
Issue
Section
License
Journal of Ayub Medical College, Abbottabad is an OPEN ACCESS JOURNAL which means that all content is FREELY available without charge to all users whether registered with the journal or not. The work published by J Ayub Med Coll Abbottabad is licensed and distributed under the creative commons License CC BY ND Attribution-NoDerivs. Material printed in this journal is OPEN to access, and are FREE for use in academic and research work with proper citation. J Ayub Med Coll Abbottabad accepts only original material for publication with the understanding that except for abstracts, no part of the data has been published or will be submitted for publication elsewhere before appearing in J Ayub Med Coll Abbottabad. The Editorial Board of J Ayub Med Coll Abbottabad makes every effort to ensure the accuracy and authenticity of material printed in J Ayub Med Coll Abbottabad. However, conclusions and statements expressed are views of the authors and do not reflect the opinion/policy of J Ayub Med Coll Abbottabad or the Editorial Board.
USERS are allowed to read, download, copy, distribute, print, search, or link to the full texts of the articles, or use them for any other lawful purpose, without asking prior permission from the publisher or the author. This is in accordance with the BOAI definition of open access.
AUTHORS retain the rights of free downloading/unlimited e-print of full text and sharing/disseminating the article without any restriction, by any means including twitter, scholarly collaboration networks such as ResearchGate, Academia.eu, and social media sites such as Twitter, LinkedIn, Google Scholar and any other professional or academic networking site.



